PRISM Imaging - Seizure
Gain valuable insights into how PRISM Imaging enhances our ability to detect and analyze seizure activity.
June 27, 2023
|
Brain Mapping Solutions Team
PRISM Imaging specializes in the comprehensive assessment and treatment planning of seizure disorders, utilizing pioneering imaging techniques such as:
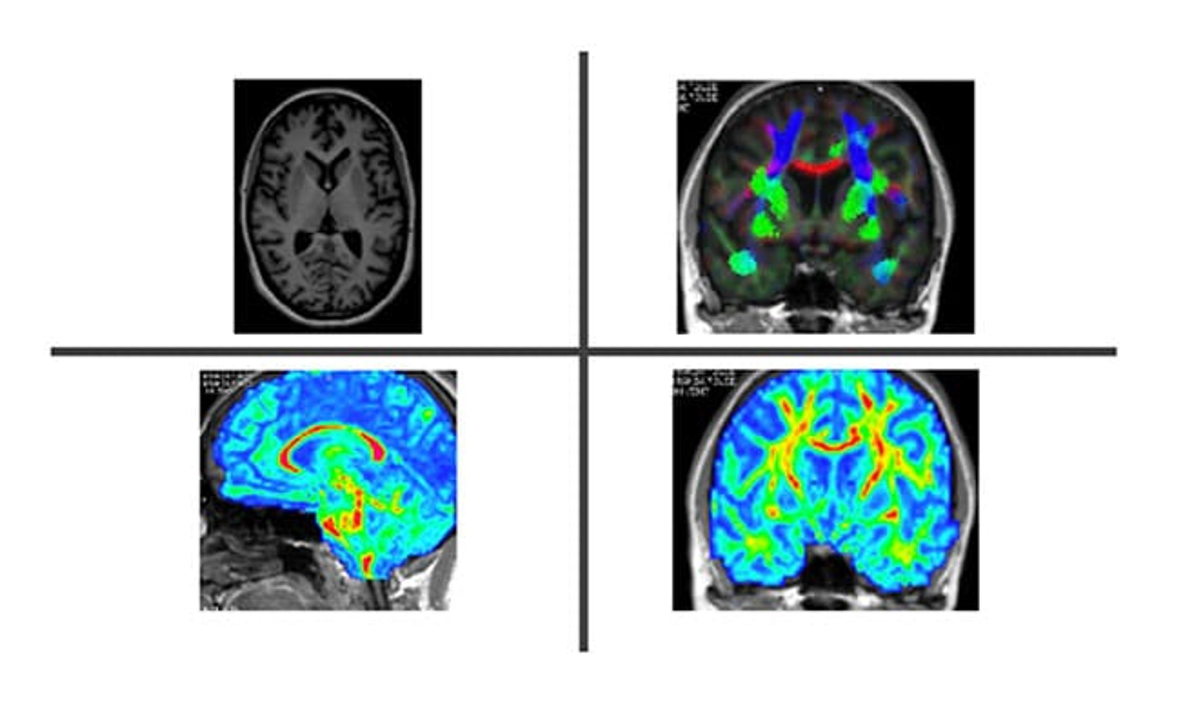
- Seizure Focus Assessment Using DTI (Diffusion Tensor Imaging): Through the use of advanced DTI, PRISM offers in-depth evaluations to locate the seizure's focal point within the brain. This precise identification of seizure origins can inform treatment strategies and potentially improve patient outcomes.
- Quantitative Brain Mapping: PRISM's cutting-edge quantitative brain mapping aims to pinpoint specific areas of the brain involved in seizure activity. This technique can provide valuable data to better understand each patient's unique seizure disorder.
- Identifying Areas of Degeneration Causing Seizures (e.g., Mesial Temporal Sclerosis): By recognizing and examining areas of brain degeneration, such as those caused by conditions like Mesial Temporal Sclerosis, PRISM strives to enhance our understanding of the potential causes behind individual seizure disorders.
At PRISM, we believe in harnessing the power of advanced imaging to illuminate the complexities of seizure disorders and contribute to their effective management.

Latest Insights
PRISM Imaging - TBI
Explore how PRISM Imaging contributes to our understanding and management of traumatic brain injury (TBI).
PRISM Imaging - CNS Neoplasms
Delve into the world of central nervous system neoplasms and learn how PRISM Imaging is revolutionizing its diagnosis and treatment.
Trauma Brain Injury (TBI) Impact
Learn about the broad and profound impacts of TBI, its effects on patients' lives, and the latest developments in its management.
PRISM Imaging - Neurodegenerative and Neurocognitive
Understand how PRISM Imaging can assist in identifying and monitoring neurodegenerative and neurocognitive disorders.
NeuroInfuse TBI IV Therapy
Discover how NeuroInfuse TBI IV Therapy is being utilized to provide effective treatment for traumatic brain injuries.