PRISM Imaging - CNS Neoplasms
Delve into the world of central nervous system neoplasms and learn how PRISM Imaging is revolutionizing its diagnosis and treatment.
June 27, 2023
|
Brain Mapping Solutions Team
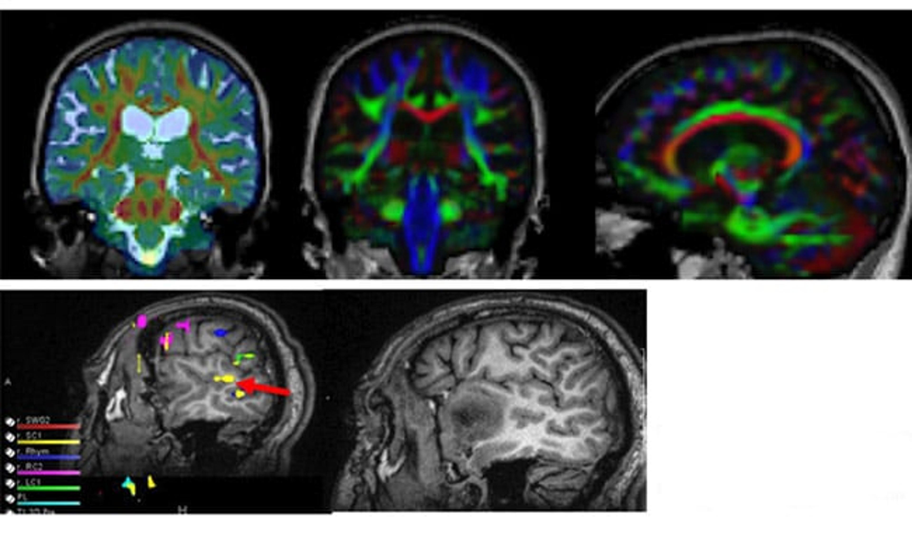
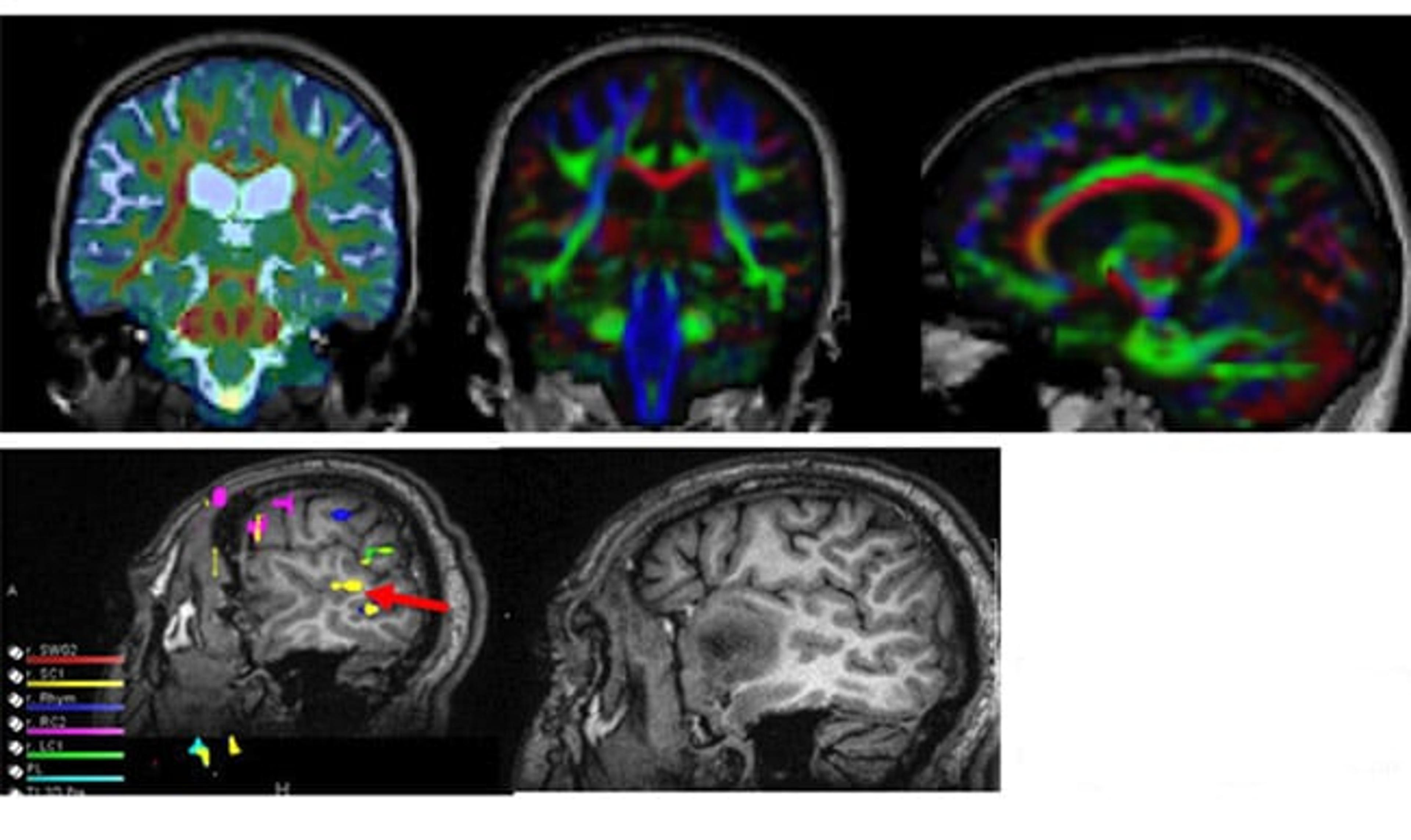
PRISM Imaging deeply delves into the realm of Central Nervous System (CNS) neoplasms, offering innovative imaging solutions for:
- Tumor Treatment Planning: Utilizing state-of-the-art imaging technology, PRISM aids in the creation of comprehensive treatment strategies. Our goal is to provide insights that could help tailor personalized treatment plans, facilitating better therapeutic decisions.
- Treatment Response Assessment: With the ability to monitor treatment progression, PRISM offers a valuable resource for evaluating the effectiveness of implemented therapies. We aim to track the responsiveness of CNS neoplasms to treatment, potentially providing critical information for adjusting therapeutic approaches when necessary.
Our commitment lies in leveraging cutting-edge imaging technology to assist in the planning and assessment of treatment for CNS neoplasms, contributing to advancements in the care of these complex conditions.

Latest Insights
PRISM Imaging - Seizure
Gain valuable insights into how PRISM Imaging enhances our ability to detect and analyze seizure activity.
PRISM Imaging - TBI
Explore how PRISM Imaging contributes to our understanding and management of traumatic brain injury (TBI).
Trauma Brain Injury (TBI) Impact
Learn about the broad and profound impacts of TBI, its effects on patients' lives, and the latest developments in its management.
PRISM Imaging - Neurodegenerative and Neurocognitive
Understand how PRISM Imaging can assist in identifying and monitoring neurodegenerative and neurocognitive disorders.
NeuroInfuse TBI IV Therapy
Discover how NeuroInfuse TBI IV Therapy is being utilized to provide effective treatment for traumatic brain injuries.